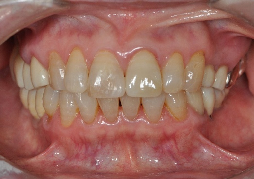
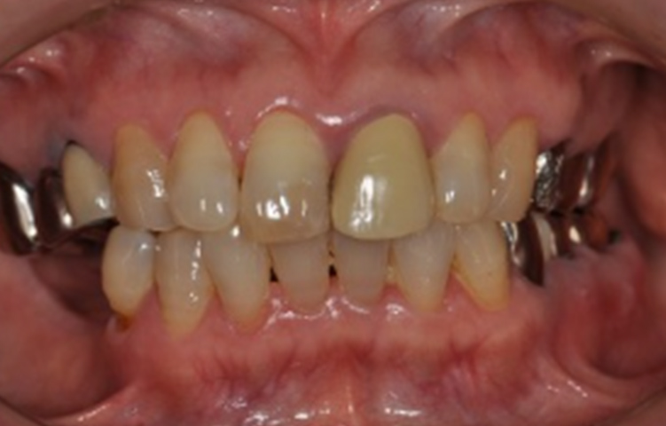
審美性も妥協しない技工所を併設
天然歯に近い仕上がり

院内に技工所を併設しております。上部構造(被せ物)が周囲の歯と調和した天然歯に近い仕上がりになるよう、形や色など細部にまでこだわりを持った技工士が医師と連携して治療を進めていきます。
テレビCM放映中

福岡歯科大学口腔インプラント科で20年以上研鑽を積んだ歯科医師が、
アロハ歯科とタッグを組み、大橋に九州インプラントクリニックを設立。
大学病院と変わらない先進の医療設備と専門技術で質の高いインプラント治療をご提供します。




歯科医師に指導する歯科医師福岡歯科大学口腔インプラント科教授を務めた歯科医師が大学病院水準のオペ室で執刀します。
豊富な治療実績と高い専門性により、他院で難しいと言われた方、手術に不安がある方でも安心してインプラント治療を受けて頂くことができます。


より安全性、正確性を高める先進の医療設備を導入することにより、医師の勘に頼らないより正確で精密な検査、診断、手術が可能となりました。
近年のデジタル技術を駆使し、インプラントの埋入角度や深さをコントロールすることが出来るため、正確な手術を早い患者さまの身体的負担も軽減します。


眠っている間にインプラント手術治療が不安な方や身体的な負担が心配の方に麻酔科医による安全な点滴麻酔(静脈内鎮静法)を行っています。
眠った状態で痛みや恐怖心を感じることなく手術を受けて頂けます。
長期間に使用するものだからこそ、メーカー選びが非常に重要です。
信頼できるメーカーのインプラントは、厳しい品質管理をクリアしており、安全性が高いことが特徴です。
また、骨との結合性に優れ、治療後も安定しやすいため、長期的に快適に使うことができます。


これからインプラント治療を検討される方、現在治療中の方へ。
大学病院教授を務めたDr.城戸がお伝えしたい「インプラント」について。