2025.06.05
右奥で噛みたい(58歳女性)
-
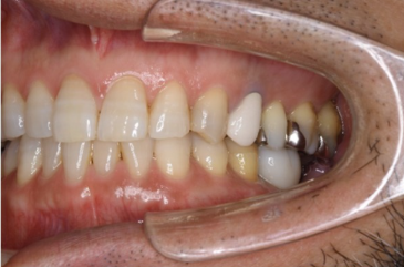
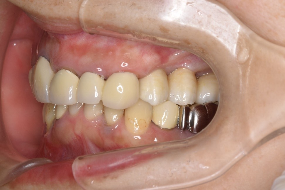
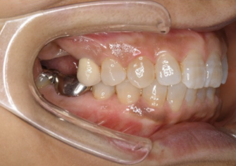
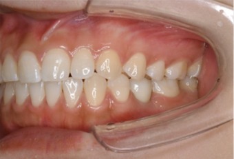
治療前
-
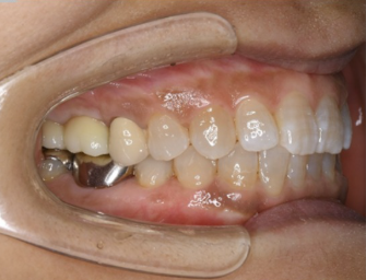
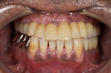
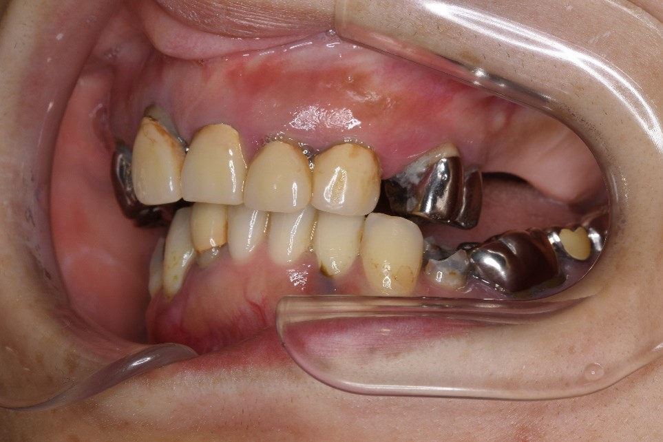
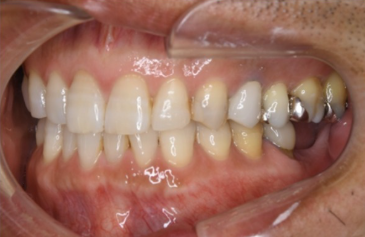
治療後
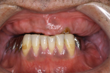
治療前
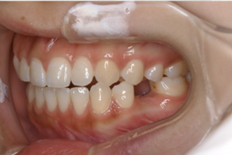
治療後
治療前
治療後
治療前
治療後
治療前
治療後
治療前
治療後