2025.03.05
両方の奥歯が痛くて噛めない(72歳女性)
-
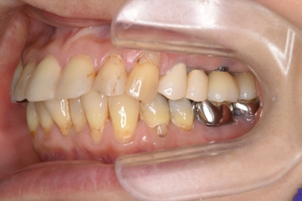
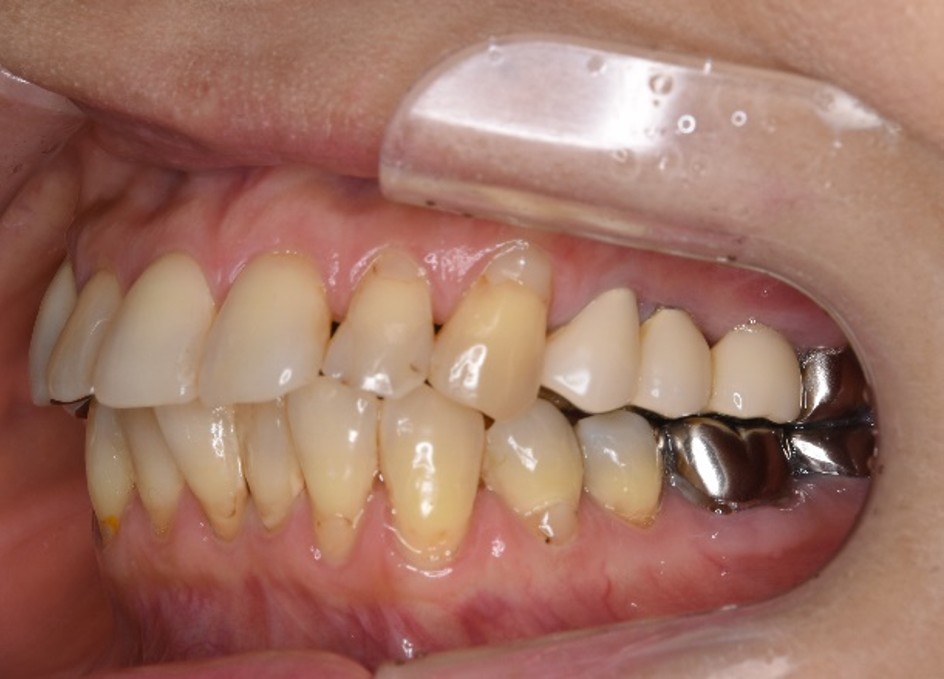
治療前
-
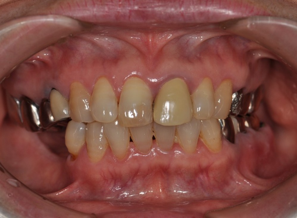
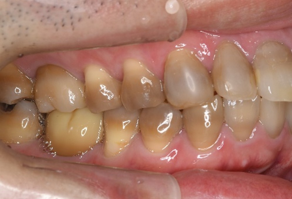
治療後
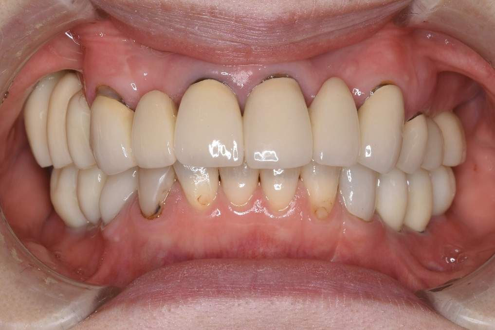
治療前
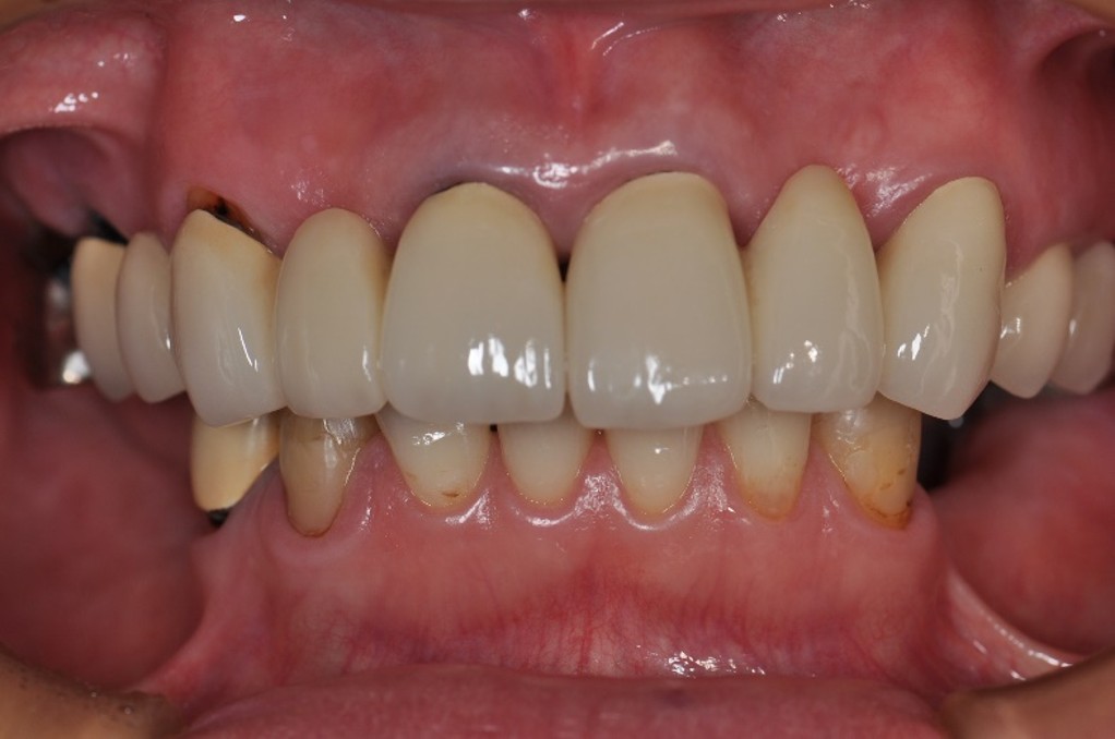
治療後
治療前
治療後
治療前
治療後
治療前
治療後