2025.03.17
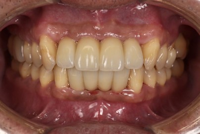
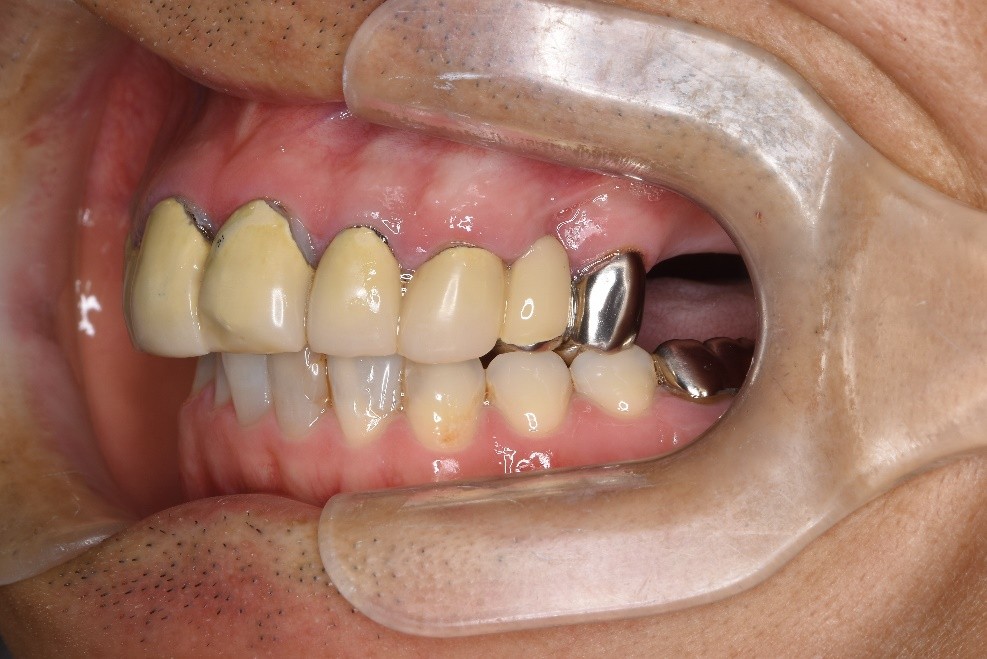
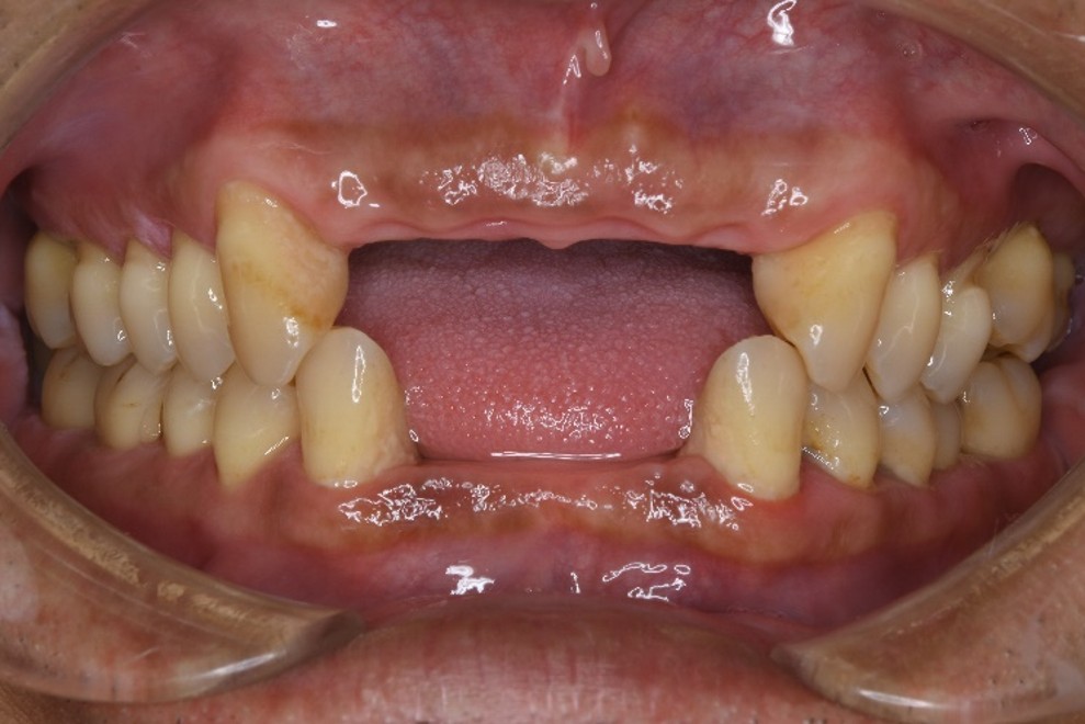
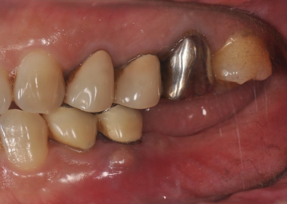
左の奥歯が噛めない(54歳男性)
-
治療前
-
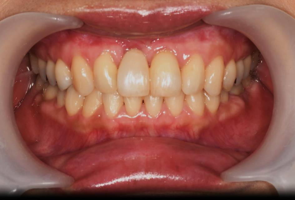
治療後
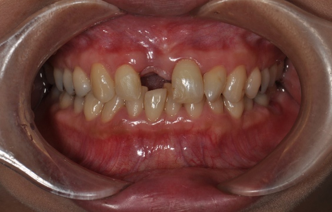
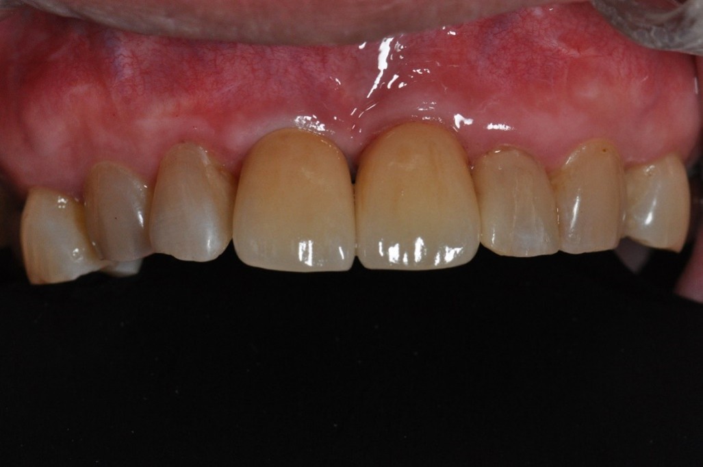
治療前
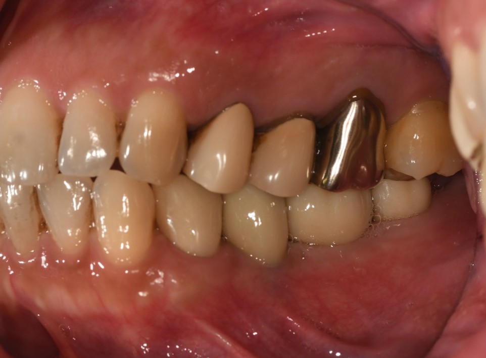
治療後
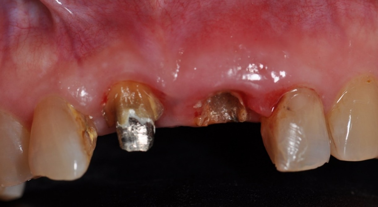
治療前
治療後
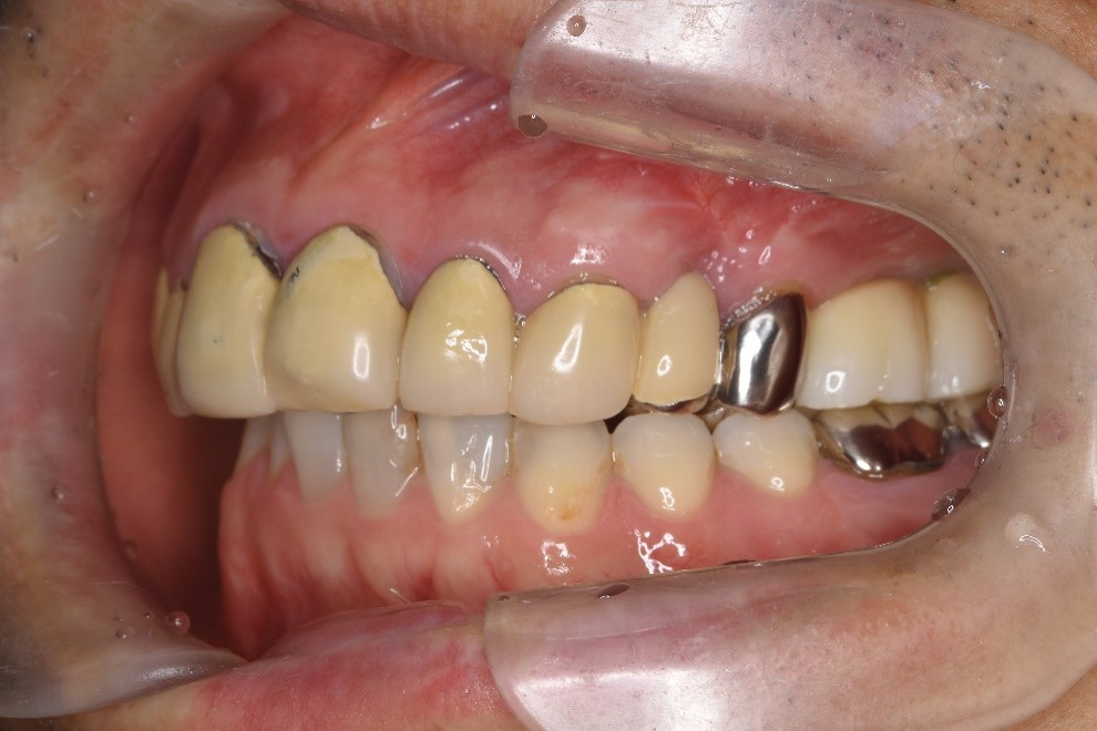
治療前
治療後
治療前
治療後
治療前
治療後